Eroze zubní skloviny – příčiny, příznaky a moderní léčba v MOD DENTAL Praha 6
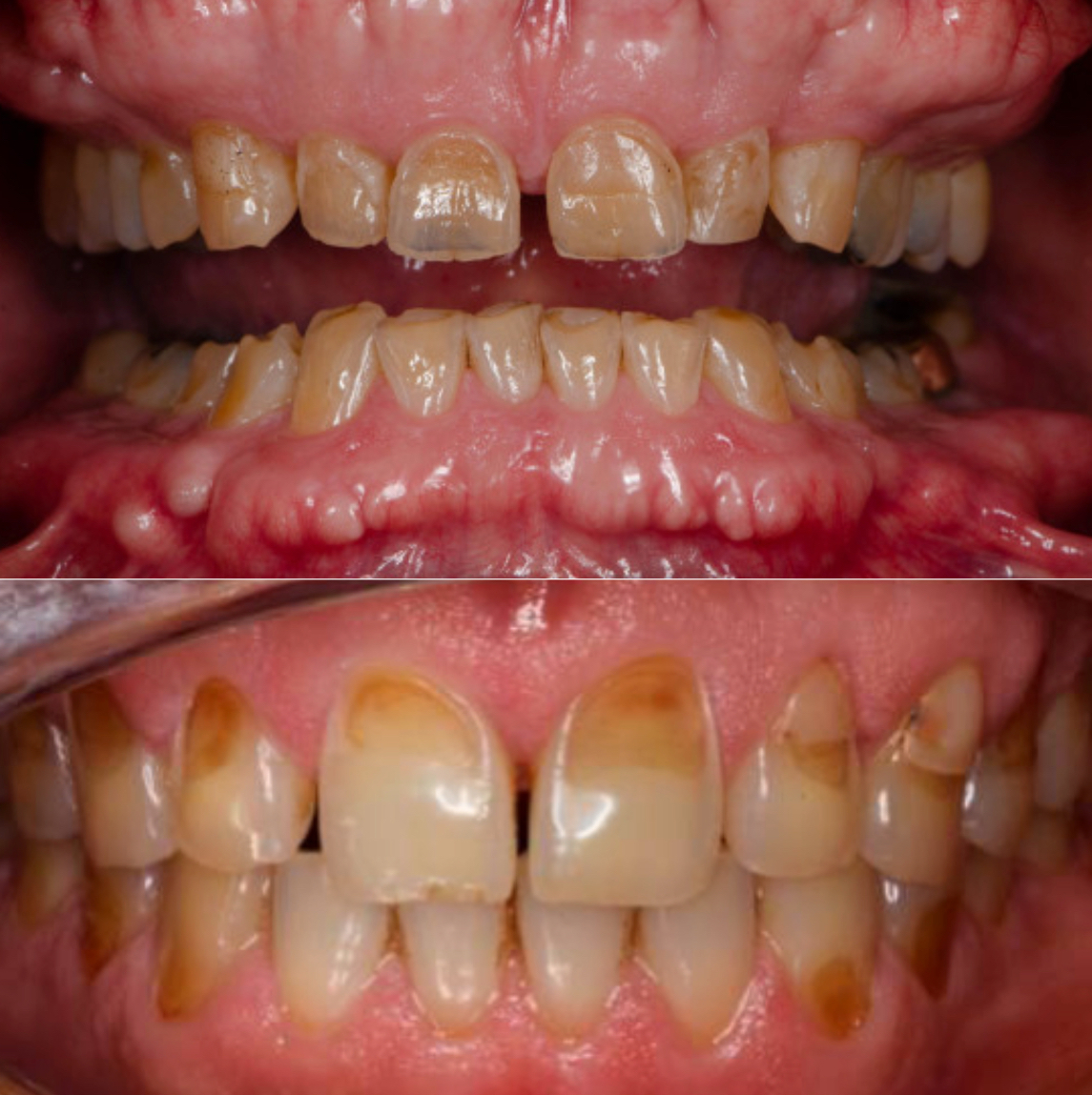
Eroze zubní skloviny je jedním z nejčastějších problémů, se kterým se pacienti obracejí na MOD Dental Praha 6. Jedná se o postupné ztenčování skloviny vlivem kyselin, kdy se zuby stávají citlivějšími, křehčími a náchylnějšími k poškození. Bez včasné léčby může eroze způsobit hluboké defekty, narušení zubních tkání a následně i nutnost složité rekonstrukce.
Co způsobuje erozi zubní skloviny
Hlavní příčiny:
-
pravidelná konzumace kyselých nápojů (džusy, limonády, energetické nápoje, víno);
-
časté svačiny a zvýšená kyselost slin;
-
gastroezofageální reflux (kyselina ze žaludku se dostává do ústní dutiny);
-
tvrdé čištění zubů, abrazivní nebo bělicí zubní pasty;
-
snížená produkce slin (xerostomie);
-
zvyk dlouho přidržovat kyselé potraviny v ústech.
Tyto faktory postupně narušují strukturu skloviny a zvyšují citlivost zubů na vnější podněty.
Jak poznat erozi zubní skloviny
Objednejte se na konzultaci, pokud pozorujete:
-
zvýšenou citlivost na studené, teplé nebo sladké;
-
změnu barvy zubů — ztmavnutí nebo ztrátu lesku;
-
průhledné okraje zubů;
-
hladké, lesklé plochy na povrchu skloviny;
-
drobné prohlubně nebo jamky na zubech.
Včasný zásah dokáže erozi zastavit a sklovinu posílit bez nutnosti složitého ošetření.
Léčba eroze zubní skloviny v MOD Dental Praha 6
V naší klinice využíváme moderní a šetrné postupy pro obnovu a ochranu skloviny:
1. Remineralizace a fluoridace
Speciální přípravky posilují sklovinu, snižují citlivost a obnovují její povrch.
2. Ochranné povlaky
Vytvářejí bariéru proti působení kyselin a zabraňují dalšímu poškození.
3. Korekce techniky čištění a výběru vhodné zubní pasty
Naučíme vás správné postupy, aby se sklovina dále neoslabovala.
4. Rekonstrukce kompozitními materiály
Při výraznější erozi obnovujeme tvar a funkci zubů pomocí estetických výplní.
5. Úprava stravy a životního stylu
Poskytujeme individuální doporučení, která brání opakování problému.
Pokud je příčinou eroze reflux nebo jiné celkové onemocnění, doporučíme pacienta k příslušným odborníkům.
Jak předcházet erozi zubní skloviny
-
omezte časté pití kyselých nápojů;
-
pijte kyselé nápoje brčkem;
-
nečistěte si zuby ihned po konzumaci kyselých jídel (vyčkejte 30 minut);
-
používejte měkký kartáček;
-
vybírejte zubní pastu s nízkou abrazivitou;
-
pijte více vody;
-
choďte na profesionální čištění a kontrolu každých 6 měsíců.
Proč si vybrat právě MOD Dental Praha 6
-
moderní diagnostické a léčebné postupy;
-
individuální přístup podle příčiny eroze;
-
bezpečné, šetrné a efektivní metody obnovy skloviny;
-
komfortní prostředí kliniky v Praze 6.


