Эрозия зубной эмали: причины, симптомы и лечение в MOD Dental Praha 6
Эрозия зубной эмали — одна из самых распространённых проблем, с которой обращаются пациенты в MOD Dental Praha 6. Это процесс постепенного истончения эмали под воздействием кислот, при котором зубы становятся чувствительными, ломкими и более подверженными повреждениям. Без своевременного лечения эрозия может привести к глубоким дефектам, разрушению тканей зуба и необходимости сложной реставрации.
Что вызывает эрозию зубной эмали
Основные причины:
-
регулярное употребление кислых напитков (соки, лимонады, энергетики, вино);
-
частые перекусы и повышенная кислотность слюны;
-
гастроэзофагеальный рефлюкс (кислота из желудка попадает в полость рта);
-
жёсткая чистка зубов, абразивные или отбеливающие пасты;
-
снижение слюноотделения (ксеростомия);
-
привычка долго держать кислую пищу во рту.
Эти факторы постепенно разрушают эмаль, делая зубы более восприимчивыми к внешним раздражителям.
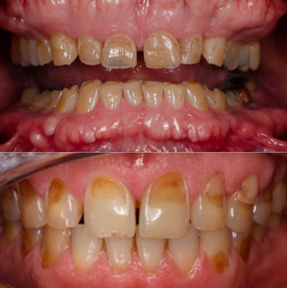
Как распознать эрозию эмали
Запишитесь на консультацию, если вы замечаете:
-
повышенную чувствительность к холодному, горячему или сладкому;
-
изменение цвета зубов — потемнение или потускнение;
-
появление «прозрачности» по краям зубов;
-
гладкие блестящие участки на поверхности эмали;
-
появление маленьких углублений или ямок на зубах.
На ранних стадиях эрозию можно остановить, а эмаль — укрепить без необходимости сложного лечения.
Лечение эрозии зубной эмали в MOD Dental Praha 6
В нашей клинике мы используем современные и щадящие методы восстановления эмали:
-
Реминерализация и фторирование — специальные препараты укрепляют эмаль, уменьшают чувствительность и восстанавливают поверхность зубов.
-
Покрытие защитными составами — создание барьера от кислотных воздействий.
-
Коррекция техники чистки и подбор правильной зубной пасты.
-
Реставрация композитными материалами при выраженной эрозии.
-
Коррекция питания и образа жизни, индивидуальные рекомендации для предотвращения рецидивов.
Если причиной эрозии стал рефлюкс или другие системные факторы, мы направим пациента к соответствующим специалистам.
Как предотвратить эрозию эмали
-
избегайте частого употребления кислых напитков;
-
используйте трубочку при питье кислых напитков;
-
не чистите зубы сразу после кислой пищи (подождите 30 минут);
-
используйте мягкую зубную щётку;
-
выбирайте пасту с низкой абразивностью;
-
пейте больше воды;
-
проходите профессиональную чистку и осмотр каждые 6 месяцев.
Почему MOD Dental Praha 6 — правильный выбор
-
современные методы диагностики и лечения;
-
индивидуальный подход с учётом причины эрозии;
-
щадящие, безопасные и эффективные технологии восстановления эмали;
-
комфортная клиника в Праге 6.
Эрозия зубной эмали — процесс, который нельзя игнорировать. В MOD Dental Praha 6 мы поможем остановить разрушение эмали, снизить чувствительность и вернуть зубам здоровье.


